Рассматривая строение тимуса, стоит отметить, что врастающая мезенхима с кровеносными сосудами подразделяет тимус на дольки.
ДОЛЬКИ ТИМУСА
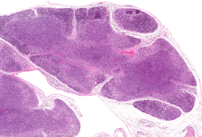
Дольки тимуса (Д) – многогранные структуры, частично отграниченные соединительнотканными перегородками (СП), возникающими из капсулы (Ка). Капсула периферической дольки изображена только частично на рисунке справа от текста, а соединительная ткань перегородки опущена. Каждая долька тимуса состоит из двух четких зон; коркового и мозгового веществ.

Корковое вещество тимуса (КБ) – темная периферическая зона дольки, образованная очень плотно сконцентрированными Т-лимфоцитами (Л), среди которых трудно рассмотреть при малом увеличении капилляры и другие клетки. Корковое вещество отделено от капсулы поверхностным слоем уплощенных и прочно соединенных эпителиоретикулярных клеток (ЭРК), лежащих на общей базальной мембране (БМ). Последняя отрезана и отвернута в сторону, чтобы показать кровоснабжение эпителиоретикулярных клеток.
Мозговое вещество тимуса (MB) – светлая центральная зона дольки, в которой эпителиоретикулярные клетки легко различимы из-за относительно низкого числа лимфоцитов среди них. Группы плотно соединенных, концентрично расположенных эпителиоретикулярных клеток, формирующих тельца Гассаля (ТГ), присутствуют только в мозговом веществе. Между корковым и мозговым веществом находится слаборазличимая граница – кортико-медуллярная зона.
Артерии (А) идут вдоль перегородок и входят в паренхиму тимуса, все еще отделенные от нее базальной мембраной (БМ). В кортико-медуллярной зоне артерии делятся на артериолы (Авт), а последние распадаются на капилляры (указаны стрелками), большинство из которых снабжают кровью корковое вещество. Капилляры образуют подкапсульные аркады, обращенные к мозговому веществу, и соединяются вместе, формируя посткапиллярные венулы (ПКВ), также расположенные в кортико-медуллярной зоне. Несколько посткапиллярных венул, объединяясь, дают начало корково-медуллярным венулам (Вен), которые впадают в междольковые вены (В), сопровождающие артерии. Небольшая часть корковых капилляров впадает непосредственно в междольковые и капсулярные вены (КаВ).
КОРКОВОЕ И МОЗГОВОЕ ВЕЩЕСТВО ТИМУСА

Чтобы лучше рассмотреть строение коркового (KB) и мозгового (MB) вещества тимуса, часть капсулы (Ка) не изображена на левом рисунке. К тому же кусок базальной мембраны (БМ) отрезан и отвернут в сторону. Таким образом, можно различить отграничивающий периферический слой плотно уложенных эпителиоретикулярных клеток (ЭРК), полностью изолирующих снаружи корковое вещество тимуса. Отростки этих периферических клеток соединены с отростками эпителиоретикулярных клеток, расположенных глубже в корковом веществе, формируя трехмерный циторетикулум, в ячейках которого располагаются Т-лимфоциты (Л). Тем не менее из-за большой плотности лимфоцитов, закрывающих эпителиоретикулярные клетки, на срезе трудно рассмотреть строение циторетикулума. Поэтому сегмент коркового вещества тимуса в правой части рисунка был освобожден от лимфоцитов и остались на месте только эпителиоретикулярные клетки. После этого стала хорошо видна трехмерная сеть стромы органа, как и контакты между глубоко расположенными эпителиоретикулярными клетками и периферическими клетками этого же типа. Также видно, что капилляры (Кап) коркового вещества полностью окружены плотно прилежащими друг к другу эпителиоретикулярньгми клетками. Лимфоциты, находящиеся непосредственно под периферическим слоем эпителиоретикулярных клеток, активно размножаются путем митоза (Мит).
В мозговом веществе тимуса эпителиоретикулярные клетки доминируют над Т-лимфоцитами и, объединяясь, формируют тельца Гассаля (ТГ), одно из которых изображено в левом нижнем углу.
Артерии (А) входят в тимус, сопровождая соединительнотканные перегородки (здесь опущены), и в кортико-медуллярной зоне делятся на артериолы (Apт). Вместе с мозговыми венулами (Вен) артериолы проходят в больших периваокулярных каналах (ПВК), ограничивая с одной стороны своими стенками периваскулярное пространство (ПВП).
Со стороны перикапиллярного пространства каналы отграничены неполной базальной мембраной (БМ), являющейся продолжением таковой, подстилающей периферические эпителиоретикулярные клетки. Артериолы разветвляются на капилляры (Кап), направляющиеся преимущественно в корковое вещество. Базальная мембрана (БМ) следует за разветвлениями сосудов и отделяет капилляры от окружающих их эпителиоретикулярных клеток.
Кровь из корковых капилляров собирается в посткапиллярные венулы (ПКВ), вокруг которых имеется узкое перикапиллярное пространство. Покров из эпителиоретикулярных клеток и базальной мембраны становится прерывистым вследствие прохождения многочисленных Т-лимфоцитов, которые пересекают оба этих слоя, чтобы попасть в посткапиллярную венулу. Кровь из посткапиллярных венул течет в корково-медуллярные венулы (Вен), затем в междольковую вену (В), идущую параллельно с артерией через междольковую перегородку. Капсулярные вены (КВе) проходят в соединительной ткани капсулы.
Два периваскулярных канала изображены выступающими из плоскости среза. Их стенки образованы неполным слоем эпителиоретикулярных клеток (ЭРК). Стенка такого канала перфорирована многочисленными отверстиями (О), через которые Т-лимфоциты, макрофаги и другие блуждающие клетки могут проходить в периваскулярное пространство и покидать его. В базальной мембране отверстия отсутствуют.
Артериолы часто сопровождаются мелкими лимфатическими сосудами (ЛС).
Тимус, thymus (вилочковая железа, зобная железа), как и костный мозг, является центральным органом иммуногенеза. В тимусе стволовые клетки, поступающие сюда из костного мозга с током крови, пройдя ряд промежуточных «стадий, превращаются в конечном счете в Т-лимфоциты, ответственные за реакции клеточного, иммунитета. В дальнейшем Т-лимфоциты поступают в кровь и лимфу, покидают тимус и заселяют тимус-зависимые зоны периферических органов иммунопенеза. Тимус секретирует также вещества под названием «тимический (гумо ральный) фактор». Эти вещества влияют на функции Т-лимфо-цитов.
Тимус состоит из двух асимметричных по величине долей: правой доли,lobus dexter, и левой доли,lobus sinister (рис. 99). Обе доли могут быть сращены в своих средних частях или тесно соприкасаются друг с другом на уровне середины. Нижняя часть каждой доли расширена, а верхняя сужена. Нередко верхние части выступают в области шеи в виде двузубой вилки (отсюда— вилочковая железа). Левая доля тимуса примерно в половине случаев длиннее правой. В период своего максимального развития (10—15 лет) масса тимуса достигает в среднем 37,5 г, длина его в это время составляет 7,5—16,0 см.
Топография.Располагается тимус в передней части верхнего средостения, между правой и левой медиастинальной плеврой. Положение тимуса соответствует верхнему межплевральному полю при проекции границ плевры на переднюю грудную стенку. Верхняя часть тимуса нередко заходит в нижние отделы пре-трахеального межфасциального промежутка и лежит позади гру-дино-подъязычных и грудино-щитовидных мышц. Передняя поверхность тимуса выпуклая, прилежит к задней поверхности рукоятки и тела грудины (до уровня IV реберного хряща). Позади тимуса находятся верхняя часть перикарда, покрывающего спереди начальные отделы аорты и легочного ствола, дуга аорты с отходящими от нее крупными сосудами, левая плече-головная и верхняя полая вены.
Строение.Тимус имеет нежную тонкую соединительнотканную капсулу, capsula thymi, от которой внутрь органа, в его корковое вещество, отходят междольковые перегородки, septa corticdles, разделяющие вещество тимуса на дольки,lobull thymi. Паренхима тимуса состоит из более темного коркового вещества,cortex thymi, и более светлого мозгового вещества,medulla thymi, занимающего центральную часть долек (рис. 100).
Строма тимуса представлена ретикулярной тканью. В петлях сети, образованной ретикулярными волокнами и клетками, находятся лимфоциты тимуса (тимоциты), которые в корковом веществе лежат более плотно, чем в мозговом, и звездчатой формы многоотросчатые эпителиальные клетки — эпителиорети-кулоциты вилочковой железы.
В мозговом веществе имеются тельца тимуса, corpus-cula thymici (тельца Гассаля), — плотные, образованные концентрически лежащими, сильно уплощенными эпителиальными клетками.
Кровоснабжение и иннервация тимуса.К тимусу от внутренней грудной артерии, дуги аорты и плечеголовного ствола отходят rr. thymici. В междольковых перегородках они делятся на более мелкие ветви, которые проникают внутрь долек, где разветвляются до капилляров. Вены тимуса впадают в плечеголов-ные вены, а также во внутренние грудные вены.
Лимфатические капилляры тимуса, которых больше в корковом веществе, образуют в паренхиме органа сети, из которых формируются лимфатические сосуды, впадающие в передние сре-достенные и трахеобронхиальные лимфатические’узлы.
Нервы тимуса являются ветвями правого и левого блуждающих нервов, а также происходят из шейно-грудного (звездчатого) и верхнего грудного узлов симпатического ствола.
Детский орган, который выполняет иммунную функцию и кроветворную – тимус. Почему его называют детским? Что с ним происходит в старческом возрасте? И какое это имеет клиническое значение? Ответы на эти и многие другие вопросы вы найдете в данной статье.
Роль тимуса в организме человека
Тимус выполняет функцию кроветворную. Что это значит? Он занимается дифференцировкой и обучением (иммунологическим) Т-лимфоцитов. Немаловажен тот факт, что «память» лимфоцитов очень долгая, и поэтому ребенок, переболевший той же ветрянкой, в 99% случаев не заболеет ей повторно. Это называется постоянным иммунитетом. Кроме пролиферации и дифференцировки Т-лимфоцитов, тимус участвует в клонирование иммунных клеток. Кстати, хотелось бы отметить, что снижение иммунитета к тимусу имеет непосредственное отношение. Снижение т-лимфоцитов влечет за собой целый каскад реакций, которые понижают иммунитет. И это многое объясняет в педиатрии, когда, например, на фоне какого-то банального заболевания возникает вторичная инфекция или вторичное заболевание.

Помимо этого тимус вырабатывает целый ряд гормонов. К ним можно отнести: тимусный гуморальный фактор, тималин, тимозин, а также тимопоэтин. Эти гормоны также выполняют иммунную функцию.
Тимус: гистология, строение, функции
Тимус — это типичный паренхиматозный орган (в нем выделяют строму и паренхиму). Если смотреть на внешний вид гистологического строения тимуса, можно отметить, что орган дольчатый.

В каждой дольке различают темную и светлую зону. Если говорить научным языком, это корковое и мозговое вещество. Как уже было сказано, тимус выполняет иммунную функцию. Поэтому его по праву можно назвать оплотом детской иммунной системы. Чтобы этот оплот не пал от первого попавшегося чужеродного белка-антигена, нужно создать какую-то защитную функцию для него. И природа создала эту защитную функцию, назвав ее гематотимусный барьер.
Краткая характеристика гистологии тимусного барьера
Данный барьер представлен сетью синусоидных капилляров и подкапсульным эпителием. В состав этого барьера входят эпителиальные клетки капилляров. То есть антигены, которые вырабатываются патогенными организмами, сразу попадают в кровь, оттуда разносятся по всему организму человека. Тимус не является исключением, куда могут попасть эти антигены. Как они туда попадут? Они туда могут попасть по микроциркуляторному руслу, то есть по капиллярам. На фото ниже показана гистология препарата из тимуса, хорошо просматриваются сосуды в строме.

Внутри капилляр выстлан эндотелиальными клетками. Они покрыты базальной мембраной капилляра. Между этой базальной мембраной и наружной находится периваскулярное пространство. В этом пространстве присутствуют макрофаги, которое способны фагоцитировать (поглощать) патогенные микроорганизмы, антигены и так далее. За наружной мембраной находятся сотни лимфоцитов и ретикулоэпителиальных клеток, которые защищают микроциркуляторное русло тимуса от попадания антигенов и патогенных микроорганизмов.
Корковое вещество тимуса
Корковое вещество состоит из ряда структур, например, это клетки лимфоидного ряда, макрофагального, эпителиальные, опорные, «Няньки», звездчатые. Теперь давайте рассмотрим эти клетки поподробнее.
- Звездчатые клетки — секретируют тимусные пептидные гормоны — тимозин или тимопоэтин, регулируют процесс роста, созревания и дифференцировки Т-клеток.
- Клетки лимфоидного ряда — к ним относятся те Т-лимфоциты, которые еще не созрели.

- Опорные клетки — необходимы для создания некого каркаса. Большинство опорных клеток участвует в поддержании гематотимусного барьера.
- Клетки «Няньки» — имеют в своей структуре углубления (инвагинации), в которых развиваются Т-лимфоциты.
- Эпителиальные клетки — это основная масса клеток коркового вещества тимуса.
- Клетки макрофагального ряда — это типичные макрофаги, у которых есть функция фагоцитоза. Также являются участниками гематотимусного барьера.
Развитие Т-лимфоцитов на гистологическом препарате
Если смотреть на препарат с периферии, тогда здесь можно найти T-лимфобласты, которые делятся. Они находятся непосредственно под самой капсулой тимуса. Если от капсулы идти в направлении мозгового вещества, то можно увидеть уже созревающие, а также вполне созревшие Т-лимфоциты. Весь цикл развития Т-лимфоцитов занимает приблизительно 20 суток. В процессе развития у них появляется Т-клеточный рецептор.
После того как лимфоциты созрели, они взаимодействуют с эпителиальными клетками. Здесь идет отбор по принципу: пригоден или непригоден. Далее происходит дифференцировка лимфоцитов. Одни станут Т-хелперами, а другие Т-киллерами.
Для чего это нужно? Каждый Т-лимфоцит взаимодействует с разными антигенами.
Подходя к мозговому веществу, уже созревшие Т-лимфоциты, которые прошли дифференцировку, проверяются по принципу опасности. Что это значит? Может ли данный лимфоцит навредить организму человека? Если этот лимфоцит представляет опасность, то с ним происходит апоптоз. То есть разрушение лимфоцита. В мозговом веществе находятся уже созревшие, либо созревающие Т-лимфоциты. Эти Т-клетки в дальнейшем попадают в кровяное русло, где расходятся по всему организму.
Мозговое вещество вилочковой железы представлено защитными клетками, структурами макрофагального ряда и эпителиальными. Кроме того, здесь есть лимфатические сосуды, кровеносные сосуды и тельца Гассаля.
Развитие
Очень интересна гистология развития тимуса. Оба дивертикула начинаются из 3 жаберной дуги. И оба этих тяжа прорастают в средостение, чаще всего переднее. Очень редко строма вилочковой железы образована дополнительными тяжами из 4 пары жаберных дуг. Из стволовых клеток крови образуются лимфоциты, которые в дальнейшем будут мигрировать из печени в кровяное русло, а затем в тимус плода. Этот процесс происходит на ранних этапах внутриутробного развития.
Разбор гистологического препарата
Краткая гистология тимуса заключается в следующем: так как это классический паренхиматозный орган, то рассматривает лаборант сначала строму (каркас органа), а потом паренхиму. Осмотр препарата сначала делают на большом увеличение, чтобы рассмотреть и сориентироваться в органе. После чего переходят на крупное увеличение для осмотра тканей. Окрашивают препарат чаще всего гематоксилин-эозином.
Строма вилочковой железы
Снаружи органа находится соединительнотканная капсула. Она охватывает орган со всех сторон, придавая форму. Внутрь органа от соединительнотканной капсулы проходят соединительнотканные перегородки, их еще называют септы, которые делят орган на дольки. Стоит отметить, что и соединительнотканная капсула, и соединительнотканные перегородки состоят из плотной оформленной соединительной ткани.
Приток или же отток крови к органу осуществляется посредством сосудов. Эти сосуды проходят также в элементах стромы. Отличить артерию от вены очень просто. Во первых, проще всего, это сделать по толщине мышечного слоя. У артерии слой мышечной ткани намного толще, нежели у вены. Во вторых, сосудистая оболочка у вены значительно тоньше, чем у артерии. Ниже на фото гистологию тимуса можно увидеть на препарате.

Чтобы рассмотреть элементы стромы внутри дольки, нужно перейти на большое увеличение. Так лаборант может увидеть ретикулярные эпителиоциты. По своей природе эти клетки являются эпителиальными, имеют отростки, которыми связываются между собой. Таким образом, клетки удерживают каркас тимуса изнутри, так как плотно соединены с элементами паренхимы.
Сами клетки ретикулоэпителиальной ткани лаборант чаще всего не увидит, так как они спрятаны многочисленными слоями паренхимы. Тимоциты настолько плотно прилегают друг к другу, что перекрывают клетки стромы. Но в единичном порядке все-таки можно увидеть между тимоцитами в светлых просветах оксифильноакрашенные клетки. У этих клеток крупные ядра, которые расположены в хаотичном порядке.
Паренхима вилочковой железы
Паренхиму тимуса нужно рассматривать в отдельно взятой дольке. Поэтому лаборант после осмотра стромы возвращается на маленькое увеличение. Когда лаборант вернулся на исходную позицию, он видит резкий контраст. Этот контраст свидетельствует о том, что каждая долька состоит из коркового и мозгового вещества.
Корковое вещество
Стоит отметить, что паренхима вилочковой железы представлена лимфоцитами. В корковом веществе, которое на препарате окрашивается в фиолетовый цвет (базофильная окраска), лимфоциты близко расположены относительно друг друга. Кроме элементов стромы и лимфоцитов, в корковом веществе лаборант больше ничего не увидит.
Мозговое вещество
В мозговом веществе преобладает оксифильная окраска, а не базофильная, как в корковом. Это объясняется тем, что резко уменьшается число лимфоцитов, и они реже расположены относительно друг друга. Среди лимфоцитов в мозговом веществе можно заметить тимусные тельца. Эти структуры в учебниках очень часто именуют тельцами Гассаля.
Тельца Гассаля на препарате образованы закрученными структурами. На самом деле это обычные отмершие, ороговевающие фрагменты стромы — те самые эпителиоретикулоциты. Тельца Гассаля — это оксифильноакрашенные элементы мозговой части тимуса.
Очень часто студенты дифференцируют препарат тимуса в гистологии по тельцам Гассаля. Они являются характерной особенностью препарата, расположены всегда исключительно в мозговом веществе. Ниже на фото представлены эти тимусные тельца.

Если в тельцах отсутствуют закрученные красные структуры, то тельца Гассаля выглядят просто белыми пятнами. Иногда их сравнивают с пустотами (артефактами) препарата, которые часто образуются во время его приготовления. Помимо сходства с артефактами, тимусные тельца сходны с сосудами. В таком случае лаборант смотрит на наличие мышечного слоя и наличие эритроцитов (если последние отсутствуют, то это тимусное тельце).
Инволюция тимуса
Как говорилось в начале статьи, тимус — это детская железа. Конечно, это не совсем так, но наличие органа не всегда означает то, что он функционирует.
Когда ребенок достигает годовалого возраста, то в этот момент наступает пик выработки лимфоцитов, соответственно, и работы железы. После постепенно тимус замещается на жировую ткань. К двадцати годам половина тимуса состоит из жировой и лимфоидной ткани. А к пятидесяти годам практически весь орган представлен жировой тканью. Такая инволюция связана с тем, что Т-лимфоциты имеют пожизненную память, которая сопровождает человеческий организм всю его жизнь. По мере того как Т-лимфоцитов в крови становится достаточно, тимус просто остается органом, «поддерживающим» постоянство Т-лимфоцитов в крови.

Инволюция гистологии тимуса может произойти намного быстрее из-за провоцирующих факторов. Этими факторами могут быть острые инфекционные заболевания, хронические заболевания, радиация и т.д. Благодаря этим факторам в крови существенно повышается уровень кортизона и гормонов стероидной природы, они оказывают разрушение незрелых Т-лимфоцитов, тем самым уничтожая сами тимоциты, замещая их на жировую ткань.
Тимус
вилочковая железа
Функции
Вырабатывает гормоны: тимозин, тималин, тимопоэтин, инсулиноподобный фактор роста-1 (ИФР-1), тимусный гуморальный фактор — все они являются белками (полипептидами). При гипофункции тимуса — снижается иммунитет, так как снижается количество Т-лимфоцитов в крови.
Развитие
Размеры тимуса максимальны в детском возрасте, но после начала полового созревания тимус подвергается значительной атрофии и инволюции. Дополнительное уменьшение размеров тимуса происходит при старении организма, с чем отчасти связывают понижение иммунитета у пожилых людей.
Регуляция
Секреция тимических гормонов и функция тимуса регулируется глюкокортикоидами — гормонами коры надпочечников, а также растворимыми иммунными факторами — интерферонов, лимфокинов, интерлейкинов, которые вырабатываются другими клетками иммунной системы. Глюкокортикоиды угнетают иммунитет, а также многие функции тимуса, и приводят к его атрофии, однако функция уничтожения аутоагрессивных клонов иммунокомпетентных клеток не только не страдает, но даже усиливается под их влиянием.[источник не указан 2151 день] Целый ряд исследований последних лет опровергают это предположение.[источник не указан 2151 день]
Пептиды шишковидной железы замедляют инволюцию тимуса.[5] Аналогичным образом действует её гормон мелатонин, способный даже вызывать «омоложение» органа.[6]
Болезни тимуса
Опухоли
- Тимома — из эпителиальных клеток вилочковой железы
- Т-клеточная лимфома — из лимфоцитов и их предшественников
- Пре-Т-лимфобластные опухоли в ряде случаев имеют первичную локализацию в тимусе и выявляются как массивный инфильтрат в средостении с последующей быстрой трансформацией в лейкоз.
- нейроэндокринные опухоли
- более редкие опухоли (сосудистого и нервного происхождения)
Опухоли вилочковой железы могут быть проявлением синдрома множественной эндокринной неоплазии I типа.[7]
![]()
Тимус человека
Ти́мус (ви́лочковая железа) — орган лимфопоэза человека и многих видов животных, в котором происходит созревание, дифференцировка и иммунологическое «обучение» T-клеток иммунной системы.
Анатомия
Внешний вид
Вилочковая железа — небольшой орган розовато-серого цвета, мягкой консистенции, поверхность её дольчатая. У новорождённых его размеры составляют в среднем 5 см в длину, 4 см в ширину и 6 см в толщину, масса — около 15 грамм. Рост органа продолжается до начала полового созревания (в это время его размеры максимальны — до 7,5—16 см в длину, а масса достигает 20—37 грамм). С возрастом тимус подвергается атрофии и в старческом возрасте едва отличим от окружающей его жировой ткани средостения; в 75 лет средняя масса тимуса составляет всего 6 грамм. По мере инволюции он утрачивает белый цвет и за счёт увеличения в нём доли стромы и жировых клеток становится более жёлтым.[1]
Топография
Тимус расположен в верхней части грудной клетки, сразу за грудиной (верхнее средостение). Спереди к нему прилежит рукоятка и тело грудины до уровня IV реберного хряща; сзади — верхняя часть перикарда, покрывающего начальные отделы аорты и лёгочного ствола, дуга аорты, левая плечеголовная вена; с боков — медиастинальная плевра.
Строение
У человека тимус состоит из двух долей, которые могут быть сращены или же просто плотно прилегать друг к другу. Нижняя часть каждой доли широкая, а верхняя узкая; таким образом, верхний полюс может напоминать двузубую вилочку (отсюда и название).
Орган покрыт капсулой из плотной соединительной ткани, от которой в глубину отходят перемычки, делящие его на дольки.
У животных (зобная железа) развита у плодов и молодых животных. Она состоит из непарного грудного отдела, лежащего впереди сердца, и парного шейного отдела, проходящего в виде выростов по бокам трахеи. С возрастом железа начинает рассасываться, а затем исчезает.
![]()
Тимус новорождённого: топография. Иллюстрация из «Анатомии» Грея
Кровоснабжение, лимфоотток и иннервация
Кровоснабжение тимуса происходит из тимических, или тимусных ветвей внутренней грудной артерии, (rami thymici arteriae thoracicae internae), тимических ветвей дуги аорты и плечеголовного ствола и ветвей верхней и нижней щитовидных артерий. Венозный отток осуществляется по ветвям внутренних грудных и плечеголовных вен.
Лимфа от органа оттекает в трахеобронхиальные и парастернальные лимфатические узлы.
Иннервирована вилочковая железа ветвями правого и левого блуждающих нервов,[2] а также симпатическими нервами, происходящими из верхнего грудного и звездчатого узлов симпатического ствола, находящимися в составе нервных сплетений, которые окружают питающие орган сосуды.[3][4]
Гистология
Микроскопическое строение вилочковой железы
Строма тимуса имеет эпителиальное происхождение, происходит из эпителия передней части первичной кишки. Два тяжа (дивертикула) берут начало из третьей жаберной дуги и прорастают в переднее средостение. Иногда строма тимуса формируется также добавочными тяжами из четвёртой пары жаберных дуг. Лимфоциты происходят из стволовых клеток крови, мигрирующих в тимус из печени на ранних стадиях внутриутробного развития. Первоначально в ткани тимуса происходит пролиферация различных клеток крови, но вскоре его функция сводится к образованию Т-лимфоцитов. Вилочковая железа имеет дольчатое строение, в ткани дольки различают корковое и мозговое вещество. Корковое вещество расположено на периферии дольки и в гистологическом микропрепарате выглядит тёмным (в нём много лимфоцитов — клеток с крупными ядрами). В корковом веществе расположены артериолы и кровеносные капилляры, имеющие гемато-тимусный барьер, препятствующий заносу антигенов из крови.
Корковое вещество содержит клетки:
- эпителиального происхождения:
- опорные клетки: формируют «каркас» ткани, образуют гемато-тимусный барьер;
- звездчатые клетки: секретируют растворимые тимические (или тимусные) гормоны — тимопоэтин, тимозин и другие, регулирующие процессы роста, созревания и дифференцировки Т-клеток и функциональную активность зрелых клеток иммунной системы.
- клетки-«няньки»: имеют инвагинации, в которых развиваются лимфоциты;
- гематопоэтические клетки:
- лимфоидного ряда: созревающие T-лимфоциты;
- макрофагального ряда: типичные макрофаги, дендритные и интердигитирующие клетки.
Непосредственно под капсулой в клеточном составе преобладают делящиеся Т-лимфобласты. Глубже находятся созревающие Т-лимфоциты, постепенно мигрирующие к мозговому веществу. Процесс созревания занимает примерно 20 суток. В ходе созревания их происходит реаранжировка генов и формирование гена, кодирующего TCR (Т-клеточный рецептор).
Далее они претерпевают положительную селекцию: во взаимодействии с эпителиальными клетками отбираются «функционально пригодные» лимфоциты, которые способны взаимодействовать с HLA; в ходе развития лимфоцит дифференцируется в хелпер или киллер, то есть на его поверхности остаётся либо CD4, либо CD8. Далее в контакте с эпителиальными клетками стромы отбираются клетки, способные к функциональному взаимодействию: CD8+ лимфоциты, способные к рецепции HLA I, и CD4+ лимфоциты, способные к рецепции HLA II.
Следующий этап — отрицательная селекция лимфоцитов — протекает на границе с мозговым веществом. Дендритные и интердигитирующие клетки — клетки моноцитарного происхождения — отбирают лимфоциты, способные к взаимодействию с антигенами собственного организма, и запускают их апоптоз.
В мозговом веществе в основном содержатся дозревающие Т-лимфоциты. Отсюда они мигрируют в кровоток венул с высоким эндотелием и расселяются по организму. Предполагается также наличие здесь зрелых рециркулирующих Т-лимфоцитов.
Клеточный состав мозгового вещества представлен опорными эпителиальными клетками, звездчатыми клетками, макрофагами. Имеются также выносящие лимфатические сосуды и тельца Гассаля.
См. также
Гемато-тимусный барьер
ВОССТАНОВЛЕНИЕ ТИМУСА
Ученые из University of Connecticut Health Center (США) разработали метод направленной дифференцировки invitro мышиных эмбриональных стволовых клеток (ЭСК) в клетки-предшественники эпителия тимуса (ПЭТ), которые invivo дифференцировались в клетки тимуса, и восстанавливали его нормальное строение.1
Ученые впервые вырастили новый орган (тимус) внутри живого организма
25.08.2014
Мы уже не раз отмечали, что современная наука позволяет выращивать в лабораторных условиях новые органы. Однако ученые не перестают удивлять и на этот раз смогли на основе всего нескольких клеток вырастить новый орган внутри живого организма.
Исследователи из Эдинбургского университета (Шотландия) смогли вырастить внутри лабораторной мыши зобную железу (тимус) путем «перепрограммирования» генов тканесоздающих клеток и добавления к ним дополнительных специальных поддерживающих клеток. При этом ученые не использовали никаких заготовок или каркасов: они просто ввели в мышь новые клетки и стали ждать их роста. Оказавшись внутри организма мыши, эти клетки развились в полностью функциональную железу, способную производить Т-клетки, занимающиеся борьбой с вирусами, то есть обретя те же самые функции, какими обладает настоящая железа. Детали о проделанной работе были недавно опубликованы в одном из последних номеров научного журнала Nature.
Следует отметить, что, несмотря на столь большой скачек в развитии регенеративной медицины, мы пока, к сожалению, не можем просто взять и начать выращивать новые сердца, легкие и почки внутри людей. Дело в том, что анатомия грызунов (а в данном конкретном случае — лабораторной мыши) намного проще, чем человеческая. А сама зобная железа является одним из самых простых органов млекопитающих. Кроме того, как отмечает сайт BBC, ученые должны будут убедиться в том, что выращенные таким способом органы не начнут бесконтрольно расти и развиваться в злокачественные опухоли.
НОВОСТИ ТИМУСА
Тимус — Википедия
Ти́мус (ви́лочковая железа) — орган лимфопоэза человека и многих видов животных, в котором происходит созревание, дифференцировка и иммунологическое «обучение» T-клеток иммунной системы.
Внешний вид
Вилочковая железа — небольшой орган розовато-серого цвета, мягкой консистенции, поверхность её дольчатая. У новорождённых его размеры составляют в среднем 5 см в длину, 4 см в ширину и 6 мм в толщину, масса — около 15 граммов. Рост органа продолжается до начала полового созревания (в это время его размеры максимальны — до 7,5—16 см в длину, а масса достигает 20—37 граммов). С возрастом тимус подвергается атрофии и в старческом возрасте едва отличим от окружающей его жировой ткани средостения; в 75 лет средняя масса тимуса составляет всего 6 граммов. По мере инволюции он утрачивает белый цвет и за счёт увеличения в нём доли стромы и жировых клеток становится более жёлтым[1].
Тимус (Thymus) в центре. Изображение 1906 г.
Топография
Тимус расположен в верхней части грудной клетки, сразу за грудиной (верхнее средостение). Спереди к нему прилежит рукоятка и тело грудины до уровня IV реберного хряща; сзади — верхняя часть перикарда, покрывающего начальные отделы аорты и лёгочного ствола, дуга аорты, левая плечеголовная вена; с боков — медиастинальная плевра.
Отдельные группы долек тимуса встречаются вокруг или в толще ткани щитовидной железы, в мягких тканях шеи, в области миндалин, в жировой клетчатке переднего, реже заднего средостения. Частота выявления аберрантного тимуса достигает 25 %. Такие аномалии чаще наблюдаются у женщин, в основном с левой стороны шеи и средостения. В литературе имеются единичные сообщения об эктопии ткани тимуса у детей грудного возраста. Такая патология сопровождалась у них одышкой, дисфагией, дыхательной недостаточностью. По данным P. Nowak и соавт., из 91 случая эктопии вилочковой железы в 76 определяется шейная локализация, преимущественно у лиц мужского пола и слева. Отмечается также связь эктопии тимуса с врожденными пороками сердца в 71 % случаев[2].
Тимус новорождённого: топография. Иллюстрация из «Анатомии» Грея
Строение
У человека тимус состоит из двух долей, которые могут быть сращены или же просто плотно прилегать друг к другу. Нижняя часть каждой доли широкая, а верхняя узкая; таким образом, верхний полюс может напоминать двузубую вилочку (отсюда и название).
Орган покрыт капсулой из плотной соединительной ткани, от которой в глубину отходят перемычки, делящие его на дольки.
У животных (зобная железа) развита у плодов и молодых животных. Она состоит из непарного грудного отдела, лежащего впереди сердца, и парного шейного отдела, проходящего в виде выростов по бокам трахеи. С возрастом железа начинает рассасываться, а затем исчезает.
Кровоснабжение, лимфоотток и иннервация
Кровоснабжение тимуса происходит из тимических, или тимусных ветвей внутренней грудной артерии, (rami thymici arteriae thoracicae internae), тимических ветвей дуги аорты и плечеголовного ствола и ветвей верхней и нижней щитовидных артерий. Венозный отток осуществляется по ветвям внутренних грудных и плечеголовных вен.
Лимфа от органа оттекает в трахеобронхиальные и парастернальные лимфатические узлы.
Иннервирована вилочковая железа ветвями правого и левого блуждающих нервов,[3] а также симпатическими нервами, происходящими из верхнего грудного и звездчатого узлов симпатического ствола, находящимися в составе нервных сплетений, которые окружают питающие орган сосуды[4][5].
Гистология
Микроскопическое строение вилочковой железы
Строма тимуса имеет эпителиальное происхождение, происходит из эпителия передней части первичной кишки. Два тяжа (дивертикула) берут начало из третьей жаберной дуги и прорастают в переднее средостение. Иногда строма тимуса формируется также добавочными тяжами из четвёртой пары жаберных дуг. Лимфоциты происходят из стволовых клеток крови, мигрирующих в тимус из печени на ранних стадиях внутриутробного развития. Первоначально в ткани тимуса происходит пролиферация различных клеток крови, но вскоре его функция сводится к образованию Т-лимфоцитов.
Вилочковая железа имеет дольчатое строение, в ткани дольки различают корковое и мозговое вещество. Корковое вещество расположено на периферии дольки и в гистологическом микропрепарате выглядит тёмным (в нём много лимфоцитов — клеток с крупными ядрами). В корковом веществе расположены артериолы и кровеносные капилляры, имеющие гемато-тимусный барьер, препятствующий заносу антигенов из крови.
Корковое вещество содержит клетки:
- эпителиального происхождения:
- опорные клетки: формируют «каркас» ткани, образуют гемато-тимусный барьер;
- звездчатые клетки: секретируют растворимые тимические (или тимусные) гормоны — тимопоэтин, тимозин и другие, регулирующие процессы роста, созревания и дифференцировки Т-клеток и функциональную активность зрелых клеток иммунной системы.
- клетки-«няньки»: имеют инвагинации, в которых развиваются лимфоциты;
- гематопоэтические клетки:
- лимфоидного ряда: созревающие T-лимфоциты;
- макрофагального ряда: типичные макрофаги, дендритные и интердигитирующие клетки.
Непосредственно под капсулой в клеточном составе преобладают делящиеся Т-лимфобласты. Глубже находятся созревающие Т-лимфоциты, постепенно мигрирующие к мозговому веществу. Процесс созревания занимает примерно 20 суток. В ходе созревания их происходит реаранжировка генов и формирование гена, кодирующего TCR (Т-клеточный рецептор).
Далее они претерпевают положительную селекцию: во взаимодействии с эпителиальными клетками отбираются «функционально пригодные» лимфоциты, которые способны взаимодействовать с HLA; в ходе развития лимфоцит дифференцируется в хелпер или киллер, то есть на его поверхности остаётся либо CD4, либо CD8. Далее в контакте с эпителиальными клетками стромы отбираются клетки, способные к функциональному взаимодействию: CD8+ лимфоциты, способные к рецепции HLA I, и CD4+ лимфоциты, способные к рецепции HLA II.
Следующий этап — отрицательная селекция лимфоцитов — протекает на границе с мозговым веществом. Дендритные и интердигитирующие клетки — клетки моноцитарного происхождения — отбирают лимфоциты, способные к взаимодействию с антигенами собственного организма, и запускают их апоптоз.
В мозговом веществе в основном содержатся дозревающие Т-лимфоциты. Отсюда они мигрируют в кровоток венул с высоким эндотелием и расселяются по организму. Предполагается также наличие здесь зрелых рециркулирующих Т-лимфоцитов.
Клеточный состав мозгового вещества представлен опорными эпителиальными клетками, звездчатыми клетками, макрофагами. Имеются также выносящие лимфатические сосуды и тельца Гассаля.
Функции
Основная роль тимуса — дифференцировка и клонирование Т-лимфоцитов. В тимусе Т-лимфоциты проходят селекцию, в результате чего в кровоток и ткани выходят клетки, которые могут вовлекаться в иммунный ответ против определенных чужеродных антигенов, но не собственного тела. Вырабатывает гормоны: тимозин, тимулин, тимопоэтин, инсулиноподобный фактор роста-1 (ИФР-1), тимусный гуморальный фактор — все они являются белками (полипептидами). При гипофункции тимуса — снижается иммунитет, так как снижается количество Т-лимфоцитов в крови.
Рядом исследований продемонстрирован мнемотропный эффект пептидов тимуса: показано активирующее влияние интраназального введения тактивина и тимозина фракции 5 на процесс формирования условного рефлекса активного избегания, их стресспротекторные свойства и ноотропный эффект от введения в экспериментах на крысах[6]. Влияние пептидов тимуса на функциональную активность центральной нервной системы также заключается в снижении тревожности и увеличении исследовательской активности крыс[7].
Развитие
Размеры тимуса максимальны в детском возрасте, но после начала полового созревания тимус подвергается значительной атрофии и инволюции. Дополнительное уменьшение размеров тимуса происходит при старении организма, с чем отчасти связывают понижение иммунитета у пожилых людей.
Регуляция
Секреция тимических гормонов и функция тимуса регулируется глюкокортикоидами — гормонами коры надпочечников, а также растворимыми иммунными факторами — интерферонов, лимфокинов, интерлейкинов, которые вырабатываются другими клетками иммунной системы. Глюкокортикоиды угнетают иммунитет, а также многие функции тимуса, и приводят к его атрофии.
Пептиды шишковидной железы замедляют инволюцию тимуса[8]. Аналогичным образом действует её гормон мелатонин, способный даже вызывать «омоложение» органа[9].
Заболевания тимуса
Опухоли
- Тимома — из эпителиальных клеток вилочковой железы
- Т-клеточная лимфома — из лимфоцитов и их предшественников
- Пре-Т-лимфобластные опухоли в ряде случаев имеют первичную локализацию в тимусе и выявляются как массивный инфильтрат в средостении с последующей быстрой трансформацией в лейкоз.
- нейроэндокринные опухоли
- более редкие опухоли (сосудистого и нервного происхождения)
Опухоли вилочковой железы могут быть проявлением синдрома множественной эндокринной неоплазии I типа.[10]
См. также
Примечания
Источники
- Гистология, цитология и эмбриология (учебник для вузов). Кузнецов С. Л., Мушкамбаров Н. Н. — М.: МИА, 2007.
- Анатомия человека. В двух томах. Т.2/Авторы: М. Р. Сапин, В. Я. Бочаров, Д. Б. Никитюк и др./Под редакцией М. Р. Сапина. — 5-е издание, переработанное и дополненное. — М.: Медицина, 2001. — 640 с.: ил. ISBN 5-225-04586-3
- Курс лекций по патологической анатомии. Частный курс. Часть II, книги 1,2. / Под ред. академика РАН и РАМН, профессора М. А. Пальцева. — М.: ООО «Издательский дом „Русский врач“», 2003. — 210 с.
- Горлова А. В., Павлов Д. А., Ольховик А. Ю., и др. Мнемотропный эффект интраназального введения пептидов тимуса // Здоровье и образование в XXI веке. — 2016. — Т. 18. — № 1. — С. 1—5. [Gorlova AV, Pavlov DA, Olkhovik AYu, et al. Mnemotropic effect of intranasal administration of thymus peptides. Health and Education Millennium. — 2016. — 18(1): 1—5.]
- Ольховик А. Ю., Новоселецкая А. В. Влияние интраназального введения пептидов тимуса на поведение и обучение крыс // Medline.ru. — 2015. — Т. 16. — С. 1106—1117.
Строение тимуса и функции иммунного органа

Одна из самых загадочных желез внутренней секреции — вилочковая, или тимус.
По своей важности не уступает многим другим, однако изучена недостаточно хорошо.
Закладка вилочковой железы происходит на шестой неделе внутриутробного развития. После рождения на протяжении всего периода детства и отрочества тимус растет и увеличивается в размере.
У взрослых строение тимуса изменяется, интенсивность роста замедляется, и постепенно железистая ткань замещается жировыми клетками, почти полностью атрофируясь к концу жизни. Тимус является ведущим органом иммунной системы, функции его описаны ниже.
Внешний вид органа
Свое название вилочковая железа получила из-за характерного вида, напоминающего двузубую вилку.
Она представляет собой небольшой дольчатый орган розоватого цвета, прилежащий к трахее.
Верхняя часть более тонкая, а нижняя расширенная. На рентгенограмме изображение тимуса частично прикрыто тенью сердца.
Размеры железы варьируют в зависимости от возраста, у малышей они составляют примерно пять на четыре сантиметра. Увеличение (тимомегалия) может наблюдаться при воздействии неблагоприятных факторов (алкоголь, никотин, лекарства и пр.) как внутриутробно, так и после рождения.
К изменению размеров тимуса могут приводить:
- Резус-конфликт, или гемолитическая болезнь новорожденных;
- асфиксии в родах;
- недоношенность;
- частые и длительные инфекционные болезни;
- опухоли;
- рахит и нарушения в питании;
- оперативные вмешательства.
Младенцы с тимомегалией требуют внимательного наблюдения педиатром из-за высокого риска синдрома внезапной смерти.
Вилочковая железа: расположение в теле человека
Тимус находится практически в центре грудной клетки, передней поверхностью прилегая к грудине, а вытянутыми верхними концами достигая щитовидной железы.
У детей нижний край достигает 3-4 ребра и располагается вплотную к перикарду, у взрослых за счет уменьшения размеров — второго межреберья.

Тимолипома
Позади тимуса проходят крупные сосуды. Расположение железы исследуют при помощи рентгенограммы грудной клетки, ультразвукового сканирования или магнитно-резонансной томографии.
Строение органа
Правая и левая доли вилочковой железы соединяются между собой соединительнотканной прослойкой, но могут быть сращены довольно плотно. Сверху тимус покрывает плотная фиброзная капсула, от которой внутрь тела железы проходят тяжи (септальные перегородки) из соединительной ткани.
С их помощью паренхима железы подразделяется на мелкие неполные дольки, имеющие корковый и мозговой слои.

Строение тимуса
Лимфоотток, кровоснабжение и иннервация
Несмотря на свое непосредственное отношение к лимфатической системе организма, вилочковая железа имеет особенности кровоснабжения и лимфооттока. Этот орган не имеет приносящих лимфатических сосудов и не фильтрует лимфу, в отличие от лимфоузлов средостения.
Лимфоотток осуществляется по немногочисленным капиллярам, берущим свое начало в стенке кровеносных сосудов. Тимус обильно кровоснабжается. От рядом проходящих щитовидных, верхней грудной артерий и аорты отходят более мелкие, а затем многочисленные артериолы, питающие железу.

Структура тимуса
Артериолы делятся на:
- дольковые — снабжающие одну из долей железы;
- междольковые;
- внутридольковые — расположенные в септальных перегородках.
Особенность строения сосудов, питающих вилочковую железу, заключается в более плотном базальном слое, не позволяющем проникать через барьер крупным белковым образованиям — антигенам. Артериолы внутри органа распадаются до капилляров, плавно переходящих в венулы — мелкие сосуды, уносящие из органа венозную кровь.
Иннервация осуществляется за счет симпатической и парасимпатической систем, нервные стволы идут вдоль кровеносных сосудов, образуя сплетения, окруженные волокнистой соединительной тканью.
Болезни тимуса встречаются редко, поэтому многие даже не знают, где находится вилочковая железа и какие функции она выполняет.
Какие заболевания позволяет выявить узи вилочковой железы, расскажем тут.
О причинах увеличения вилочковой железы у детей вы можете почитать далее. Стоит ли переживать?
Строение тканей
Более темный слой внутри каждой дольки носит название коркового и состоит из наружной и внутренней зон, образованных плотным скоплением клеток — Т-лимфоцитов.
Они отделены от капсулы тимуса эпителиальными ретикулоцитами, настолько плотно спрессованными, что полностью изолируют корковое вещество снаружи. Эти клетки имеют отростки, которыми они соединяются с нижележащими клетками, образуя своеобразные ячейки. В них и располагаются лимфоциты, количество которых огромно.

Ткани тимуса
Переходная зона между темным и светлым веществом носит название кортико-медуллярной. Граница эта условна и обозначает переход более дифференцированных тимоцитов в мозговой слой.
Мозговое вещество — светлый слой органа, состоит из эпителиоретикулоцитов и небольшого количества лимфоцитов. Происхождение их различно — основная часть образована в самом тимусе, а незначительное количество привнесено током крови из других лимфоцитарных органов. Ретикулоциты мозгового вещества образуют круговые скопления, называемые тельцами Гассаля.
Кроме двух основных видов клеток, паренхима вилочковой железы богата звездчатыми клетками, продуцирующими гормоны, дендритами, осуществляющими отбор лимфоцитов, и макрофагами, защищающими железу от попадания чужеродных агентов.
Известно, что тимус наиболее важен для детей, ведь он тренирует иммунитет. Вилочковая железа у взрослых претерпевает некоторые изменения.
Дополнительную информацию о вилочковой железе вы можете почитать в данной теме. Функции у взрослых и детей.
Тимус: функции
До сих пор не умолкают споры, к какой системе организма отнести тимус: эндокринной, иммунной или гемопоэтической (кроветворной).
Внутриутробно и в первые дни после рождения вилочковая железа участвует в продукции клеток крови, но постепенно эта функция теряет свою актуальность и на первый план выходит иммунологическая.
В нее входит:
- размножение лимфоидных клеток;
- дифференцировка тимоцитов;
- селекция зрелых лимфоцитов на пригодность к использованию.
Поступающие в тимус из костного мозга клетки еще не имеют специфичности, и задача вилочковой железы — «научить» тимоциты распознавать свои и чужие антигены. Дифференцировка идет по направлениям: подавляющие клетки (супрессоры), уничтожающие (киллеры) и помогающие (хелперы). Даже зрелые тимоциты проходят тщательный отбор. Те, у которых слабое различение своих собственных антигенов, отбраковываются. Такие клетки уничтожаются, не выходя из тимуса в кровоток с целью предупреждения развития аутоиммунных процессов.
Еще одной важной функцией тимуса является синтез гормонов: тимулина, тимопоэтина и тимозина. Все они участвуют в формировании иммунитета, и при нарушении их выработки значительно снижаются защитные силы организма, возникают аутоиммунные заболевания, значительно повышается риск онкопатологий. Тимозин оказывает влияние на формирование опорно-двигательного аппарата за счет регуляции минерального обмена (кальция и фосфора), тимулин участвует в эндокринных процессах.
Недостаточная выработка любого гормона вилочковой железы вызывает иммунодефицит и способствует тяжелым инфекционным процессам.
Гормоны тимуса оказывают влияние на половое созревание и опосредованно на уровень андрогенов, эстрогена и прогестерона. Участвует тимус и в углеводном обмене, в нем вырабатывается вещество, действие которого напоминает инсулин, за счет чего понижается уровень сахара в крови.
Вилочковая железа — важный орган, значение которого порой недооценивают. При изменении иммунного статуса, частых простудных заболеваниях, активизации условно-патогенной флоры рекомендуется провести полноценное обследование с учетом не только клеточного иммунитета, но и функции тимуса.
Видео на тему
![]()
Одним из основных органов человека, который непосредственно влияет на нормальный образ жизни, является вилочковая железа, или тимус. Именно его здоровье обеспечивает наличие у организма защитных сил, которые помогают обеспечить иммунитет и защитить тело от вредоносных бактерий.
Как только тимус прекращает свою работу, то разнообразные вирусы, бактерии и иные патогены могут беспрепятственно бродить по организму, разрушая ткани и заражая его тяжелыми инфекционными болезнями. В этой статье будет рассказано о том, за что отвечает вилочковая железа, а также где именно она находится в организме.
Что такое вилочковая железа?

Даже сейчас многие врачи продолжают спорить по поводу вилочковой железы. Тимус то стараются отнести к эндокринной, то к лимфоидной системе, но при этом ни один из врачей не умаляет важнейшей роли самой железы, а именно обеспечения защитной функции организма.
Некоторое время назад был проведен ряд исследований на животных — в качестве эксперимента у них удаляли тимус. Было замечено, что после его удаления, чужеродные бактерии и микроорганизмы достаточно быстро начинали проникать в клетки тела, а организм попросту не мог не только бороться с ними, но и оказывать любой вид сопротивления.
В раннем возрасте, до того как ребенку исполнится год, функции тимуса особенно важны, поскольку в этот период только этот орган обеспечивает всю защиту малыша от вредоносных микроорганизмов. К счастью, по мере взросления ряд иных органов также берет на себя эту функцию.
Форма тимуса

Вилочковая железа, или тимус, свое название получила именно из-за оригинального внешнего вида, напоминающего вилку с двумя зубцами. Однако таким образом выглядит только здоровый орган, а по мере своего заболевания он начинает напоминать раздувшийся парус или бабочку. Орган растет до тех пор, пока ребенку не исполнится 10 лет, а по достижении совершеннолетия начинает уменьшаться.
По своей анатомии тимус имеет маленький размер, мягкую консистенцию и розовато-серый цвет. У него дольчатое строение, то есть он делится на две доли, которые обычно или сращены, или очень сильно прилегают одна к другой. Верхняя из них обычно более широкая, а вот нижняя — уже.
Вся зобная железа покрыта соединительной тканью, образующей капсулу, которая под собой содержит Т-лимфобласты, вырабатывающиеся в тимусе. Эти специфические клетки и обеспечивают работу иммунной системы, борясь с чужеродными микроорганизмами, но при этом не влияя на собственное тело человека.
Размеры вилочковой железы
Как уже упоминалось ранее, тимус является очень маленьким органом, поэтому его длина обычно не превышает 5 см, а ширина — 4 см. А вот вес органа полностью зависит от возраста человека. Обычно при рождении стандартный вес является 12 граммов, и по мере взросления он может достичь 40 г. В период 16-18 лет постепенно начинается атрофия — к пенсионному возрасту нормальный вес тимуса всего 15 грамм, а к 80 годам — 6 грамм.
При атрофии нижние и боковые участки тимуса замещаются жировой тканью. Доподлинно неизвестно, почему же это так происходит, но многие врачи соглашаются с тем, что открытие данной загадки поможет повернуть вспять процесс старения.
Расположение органа

Достаточно малое количество людей могут точно сказать, где находится тимус — вилочковая железа, несмотря на то что этот орган очень важен. Но, на самом деле, выявить ее достаточно просто, особенно на рентгене. Если посмотреть на верхнюю часть грудной клетки прямо за грудиной, то в средостении можно заметить темное пятно. Если не имеется возможности сделать рентген, то обнаружить железу можно и при помощи пальцев, просто приложив пару из них на верхнюю часть грудины немного ниже выемки у ключицы.
Расположение органа, как у детей, так и у взрослых, не меняется, кроме тех случаев, когда это вызвано аномалиями. В этих случаях отдельные доли могут прорасти в ткани щитовидной железы, в зоны миндалин или в шейную область. Однако такие нарушения встречаются всего в 25 % случаев, и обычно у женского пола. При этом также было замечено, что в случаях эктопии тимуса практически все больные диагностируются наличием врожденного сердечного порока.
Функции органа

Самой важной функцией тимуса, без сомнения, является продуцирование иммунных клеток, которые обеспечивают организму защиту. Однако, помимо этого, орган выполняет еще несколько очень важных действий:
- Поддерживает высокий уровень иммунной защиты.
- Помогает работе гипоталамуса и гипофиза.
- Обеспечивает нормальные темпы роста скелета у ребенка.
Выработка гормонов
Также важным вопросом в данной теме является то, какие гормоны вырабатывает тимус и какова их роль в организме. При помощи тимозина и тимопоэтина преобразившиеся лимфоциты обеспечивают организму максимальный уровень защиты. А гормон тимулин улучшает уровень регенерации, ведь увеличивается уровень фагоцитоза.
Помимо этого, гормоны тимуса обеспечивают для организма ноотропный эффект, а также стабилизируют работу центральной нервной системы и уменьшают раздражительность, так что человек психически становится намного более стабильным.
Патологии тимуса

Самой опасной разновидностью патологии вилочковой железы является врожденная аномалия. В таких случаях орган начинает вырабатывать лимфоциты, которые направлены не на уничтожение чужеродных микроорганизмов, а клеток собственного тела. Также очень опасны аутоиммунные патологии хронического типа, поскольку из-за них организм начинает сильно ослабевать, а потому бактерии и различные вирусы могут беспрепятственно размножаться в теле больного человека. В таких случаях людям приходится всю жизнь сидеть на препаратах, которые предназначены для улучшения слабого иммунитета.
Помимо этого, нарушение работы тимуса может возникнуть:
- из-за облучения организма высокой дозой ионизирующего вещества;
- генетической предрасположенности;
- опасных экологических условий в месте проживания;
- облучения во время беременности или нарушения правил приема лекарств в этот период.
Заболевания

В тех случаях, когда в детстве ребенок очень часто болеет, врачи назначают исследование вилочковой железы (тимуса), поскольку в малом возрасте только этот орган обеспечивает организму защиту. В тех случаях, когда имеются тяжелые поражения у данного органа, то его вообще рекомендуется удалить, а при умеренных или слабых повреждениях проблема может решиться при помощи курса лечения иммуномодуляторами, которые помогут возвратить иммунитет на должный уровень.
Но, на самом деле, заболевает тимус намного реже, чем иные органы, причем происходит это обычно у людей пожилого возраста, хотя в некоторых случаях может проявиться и у младенцев. Основными видами заболеваний тимуса являются:
- Опухоли — они могут быть как доброкачественными, так и злокачественными. В большинстве случаев они развиваются только после 40 лет в виде карциномы или лимфомы. В редких случаях на доброкачественных опухолях могут появляться участки некроза.
- Врожденные патологии: к примеру, синдром Ди Джорджи проявляющийся в раннем возрасте, может привести к летальному исходу, поскольку сопровождается аплазией тимуса и пороками артерий и сердечной мышцы.
- При гиперплазии процесс передачи импульсов протекает с нарушениями, а потому возникают лимфоидные фолликулы.
- Киста тимуса обычно никак не проявляет себя, а потому выявить ее очень сложно. Зачастую врач попросту натыкается на нее в процессе операции, когда полости диаметром до 4 см со слизистым или серозным содержимым появляются перед глазами.
Симптомы
Для диагностики заболеваний тимуса обычно используется УЗИ — таким способом наиболее легко выявить гиперфункцию тимуса. Обычно это указывает на наличие аутоиммунных заболеваний. Помимо этого, основными признаками наличия проблем с тимусом у детей является пониженный уровень мышечного тонуса, проблемы с весом, обильное потоотделение, бледная кожа, нарушенный сердечный ритм и увеличенные миндалины с лимфоузлами.
У взрослых людей симптомов меньше — обычно больной начинает испытывать сильную мышечную усталость, тяжесть в веках. Также зачастую начинается нарушение дыхания, а после инфекционных болезней процесс восстановления становится очень длительным.
Лечение болезней вилочковой железы

Лечить любые заболевания тимуса очень сложно, а к тому же и долго. К примеру, хронические аутоиммунные болезни вообще нельзя излечить, а только понизить уровень их негативного воздействия при помощи иммуномодуляторов и витаминов группы В. Это позволяет немного улучшить защитные функции организма и обеспечивает защиту от иных инфекционных заболеваний.
Именно поэтому очень важно следовать рекомендациям врача и принимать все назначенные препараты, поскольку это поможет понизить риски разрушения еще здоровых клеток органа. Помимо того, врачи также рекомендуют следовать профилактическим мерам и принимать витамины, особенно в осенне-зимний период, когда как никогда нужно укреплять иммунитет.
Заключение
Тимус является невероятно важным органом, который обеспечивает правильную защиту организма и нормальный иммунитет. Его по праву можно назвать одним из основных, поскольку в большинстве случаев он помогает вести человеку нормальный образ жизни. Поэтому любые нарушения в нем могут привести к длительному и сложному лечению.
Подробнее о функциях вилочковой железы.
1. Производим и обрабатываем T-ячейки
железа производит Т-клетки для укрепления вашей иммунной системы. Т-клетки или лимфоциты — это лейкоциты, которые перемещаются в лимфатические узлы и селезенку после того, как они становятся зрелыми. Эти лимфоциты играют важную роль в выработке антител, которые помогают бороться с бактериями, вирусами и другими патогенными микроорганизмами.
2. Секретный тимопоэтин
Одна из функций вилочковой железы — вырабатывать гормон тимопоэтин.Они попадают в кровоток после созревания и затем перемещаются в лимфатические органы, чтобы усилить защитные механизмы.
Расстройства вилочковой железы
Будут определенные осложнения, когда железа не будет функционировать должным образом. Вот некоторые из расстройств и их последствия.
1. SCIDs
Хотя редко, но SCID — это генетический дефект, который возникает, когда у больного есть генная мутация, которая влияет на нормальный рост Т-клеток. Около девяти различных известных генов могут иметь мутации, которые в конечном итоге приводят к форме SCID.Это состояние сильно влияет на иммунную систему ребенка, и единственный вариант для ребенка — жить в стерильной среде.
2. Синдром ДиДжорджа
Это генетическое заболевание возникает, когда часть хромосомы отсутствует или удалена. Это приводит к плохому развитию других органов иммунной системы, в том числе тимуса. Тяжесть симптомов зависит от тяжести расстройства. Это пожизненное состояние обычно поражает младенцев и детей, и наиболее распространенными признаками являются недоразвитая челюсть, задержка развития, задержка речи и неспособность к обучению.Это обычно происходит из-за гипертрофии тимуса. Другим довольно распространенным заболеванием является увеличение тимуса или гиперплазия тимуса.
Лечения от заболеваний вилочковой железы
Возможно контролировать различные типы заболеваний тимуса и восстановить функцию тимуса.
- Трансплантация костного мозга действительно помогла лечить генетические нарушения, такие как SCIDs.
- Генная терапия — еще один эффективный вариант лечения.
- В случае, если вы стали жертвой синдрома ДиДжорджа, вам может потребоваться пересадка тимуса, но это только в тяжелых случаях, поскольку более легкие формы синдрома ДиДжорджа можно эффективно лечить инфузией иммунных клеток.
- Доступны некоторые лекарства для лечения миастении.
- Лечение рака тимуса сильно различается, но наиболее распространенными являются лучевая терапия, химиотерапия и лекарства.
Анатомия вилочковой железы
Помещенная в верхнюю полость грудной клетки, вилочковая железа представляет собой двухлопастную структуру, которая частично проходит в область шеи. Он точно расположен около перикарда сердца, ниже щитовидной железы и между легкими. Тимус имеет две доли, каждая из которых имеет более мелкие отделы, известные как долек.
www.newhealthadvisor.org
